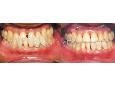
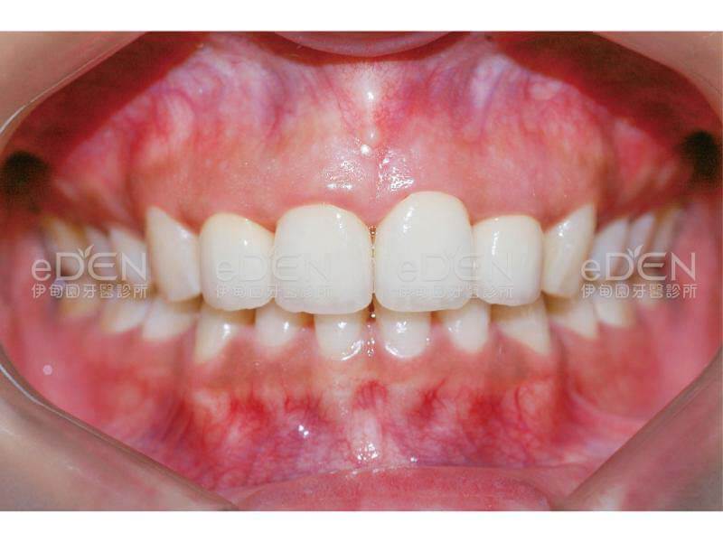
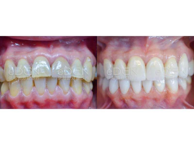
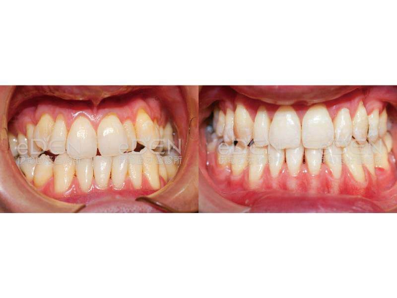
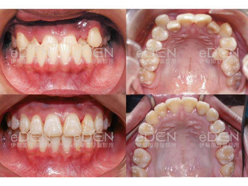
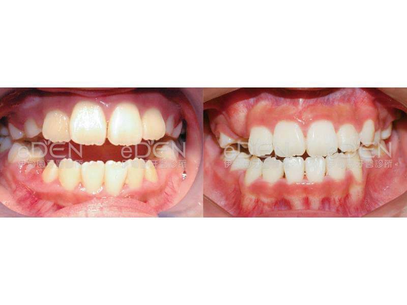
成功案例 首頁 成功案例 牙周病治療案例 這篇文章將深入探討全口重建的必要性、適用情況、治療過程、假牙材質、預期成效、費用考量,以及術後照護。 more 戽斗不拔牙 more 埋伏齒拉出 more 兒童不拔牙 大暴牙一顆沒拔,矯正完幫助孩子建立自信 more 全口貼片 more 全口美白 more 開咬不拔牙 more 擁擠不拔牙 more 正顎手術 more 兒童10年追縱 more 骨性問題免開刀免骨釘免鋼架 隱形矯正10個月 more 臉歪+顳顎關節症狀 找到顳顎關節疼痛的救命良方~傾斜咬合改正了 more 牙周病 戴牙套牙周變好了 more 隱形矯正(咬合不正) 不打骨釘、不拔牙、不開刀 more 矯正案例 牙齒排列不整、咬合功能不良、暴牙、虎牙、門齒距離過開、開咬、深咬、錯咬... more 全口貼片案例 more 隱形矯正案例 不打骨釘、不拔牙、不開刀 more «1»