陶瓷貼片
台中北屯陶瓷貼片/美白貼片推薦-伊甸園牙醫牙齒貼片
您是否有張嘴怕露出滿口大黃牙的困擾呢?伊甸園牙醫推出台中陶瓷貼片/台中美白貼片能夠使您的牙齒變得潔白無比,是台中北屯牙齒貼片推薦選擇。伊甸園台中美白貼片療程全程皆經過專業醫師評估與操作,療程簡單、牙齒美白也好簡單!如果您在尋找專業的台中陶瓷貼片/台中牙齒貼片,歡迎洽詢伊甸園牙醫診所。
台中北屯陶瓷貼片
陶瓷貼片俗稱牙齒美白貼片,將唇側部份牙齒以陶瓷製成之貼片黏著,以修復受損及美化顏色、形態不佳之牙齒。最簡單的說法就是在輕微斷裂蛀蝕或顏色異常的牙齒上黏合上薄薄的瓷片;而其製作步驟是將牙齒的唇側外表面磨掉薄薄的一層之後,再利用酸蝕黏合的技術,將0.2至0.5 mm的瓷片,以特殊高強度之複合樹脂將瓷片黏著在牙齒表面上。瓷牙貼片能夠改善牙齒的形狀,長度還有顏色,達到牙齒整齊和美白的效果。目前以上下前牙為主。
台中北屯伊甸園牙醫診所擁有豐富陶瓷貼片成功案例,若您有任何台中北屯陶瓷貼片、牙齒美白貼片需求,歡迎洽詢伊甸園!
陶瓷貼片的優點?
- 美觀、外形完美,可改變為心目中理想的顏色及型態,可再加上特殊色澤,更接近自然牙齒的齒色。
- 陶瓷貼片只需去除少量的牙體組織(0.5~0.75m/m),對牙齒的削磨比金屬瓷牙或全瓷牙少,牙齦傷害較少,且陶瓷貼片有很高的耐磨性和顏色穩定性。
- 功能性佳。大部分情況貼片只限於唇面和切緣,特別是有「深咬合」的患者舌側空間很小,不能進行傳統牙套的製作或牙齒矯正。另外,下頷前牙以陶瓷貼片遠較一般牙冠來得美觀及維持功能,同時保護牙神經。
- 牙周組織較健康。一般假牙為了美觀常需將邊緣深入到牙齦下,而易引起牙齦紅腫而產生牙周病。而陶瓷貼片的邊緣位於齦上或稍為齦下即可,臨床印模時間較少,不損傷接觸點及咬合,不改變原來正常的咬合及咀嚼,適應性較快。並用不溶性的黏固劑封閉,使牙齦健康狀況比假牙牙冠來得好,較持久也不易脫落。
什麼情況下可以製作瓷牙貼片?
牙齒本身沒有太大的斷裂或蛀蝕,牙齒外層的牙釉質沒有過度磨耗,都有條件在表面黏著瓷牙貼片。
- 前方齒列的形狀或排列異常。
- 牙齒有縫隙。最明顯的如正中門齒之間的縫隙,此種情況可利用瓷牙貼片將縫隙去除。
- 前牙切端因過度磨耗造成的缺損。
- 前牙顏色不夠潔白(如因藥物作用之四環黴素染色)。
陶瓷貼片會不會很容易破碎?
陶瓷貼片就像是一塊瓷磚,放在地上是很容易被踩破的。但是一旦塗上了水泥黏在地上,就會形成很強的結構而不容易破損。
製作陶瓷貼片後的注意事項
陶瓷貼片在製作過程所要求的精細及準確度較一般假牙為高,需要相當熟練的技巧及審慎的評估和製作,平常自我的保養維護清潔上也需較用心,但對於門牙缺縫或表面色素沉積的牙齒,是一項值得推薦的方法。裝設陶瓷貼片後的牙齒應避免讓陶瓷貼片受到小面積而高單位的急速碰撞與應力,例如不要啃蝕骨頭與硬物;還有夜間若有磨牙習慣的人應該配戴夜間牙齒護套,以避免陶瓷貼片有碎裂的情況發生。
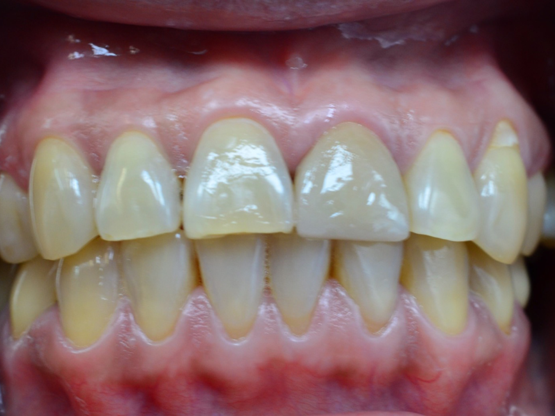
全口貼片案例
治療前


