早期治療
台中早期治療,為您找回健康整齊貝齒
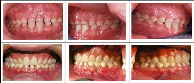
早期治療指的是在暴牙、錯咬、齒列不整、牙周病等症狀的初期時刻,即著手進行矯正、牙菌斑清除等治療療程,因為病程發展還未過於嚴重,台中早期治療的效果,一般來說會比後期才治療來的好,癒後過程也會更順利。
以牙周病來說,早期的症狀是可能是刷牙容易流血,起因於牙菌斑及結石長時間附著在牙齒及牙齦的交界處,並未即時清除乾淨造成牙齦紅腫,甚至引發牙齦炎。此時若能及時進行早期治療,預後效果會比中期、後期才看診來的好;同理可證,若有暴牙、錯咬、齒列問題的民眾,亦可及早進行台中早期治療。
預防重於治療,早期發現,早期治療,是處裡任何病症的不二法門。若您有任何牙齒病徵,歡迎至台中伊甸園牙醫診所,進行早期治療!
早期治療的好處
- 混合齒期即開始做治療的患者降低 fixed appliance 時間、拔牙、蛀牙及牙周病的機率。
- 好的生長使咬合及臉型越久越穩定,癒後越好。
- 即使有不好的家族性生長史,但長期複察維持好的咬合,可以有助抑制 ridge 過度生長。
- 治療成功與否,決定在於患者及家長的有效溝通及如何協助指導其成功的配戴牙套以及定期的回診。
- 長期複查咬合與外觀穩定性高。
- 以不拔牙治療的比例居高。
- 追蹤本診所早期治療病歷中沒有後期需手術的病例。
- 少數下顎生長過多,需上第二次矯正器,改善少量 reversed OJ。

