牙齒美容
台中牙齒美白專科-伊甸園牙醫
在拍照時可以藉由化妝、打燈,修飾肌膚缺陷,讓您的整體看起來更加美觀,但是黃板牙卻成了你最難以啟齒的口腔問題嗎?伊甸園專業台中美白牙齒牙醫,鄰近台中展演中心,是台中地區的朋友美白牙齒的優質選擇。
伊甸園牙醫提供多項台中牙齒美白療程,EX:洗牙、噴砂美白、居家美白、牙齒美白貼片等,由伊甸園專業台中牙齒美白醫師細心地評估與診斷,並給予您合適的美白牙齒建議。我們採用較溫和安全的台中牙齒美白方式,減少牙齒美白過程中對牙齒與牙齦造成的傷害,讓您擁有一口健康潔白的笑容。歡迎來電洽詢伊甸園牙醫 (04)2422-7606,進一步了解專業的台中牙齒美白口腔保健療程。
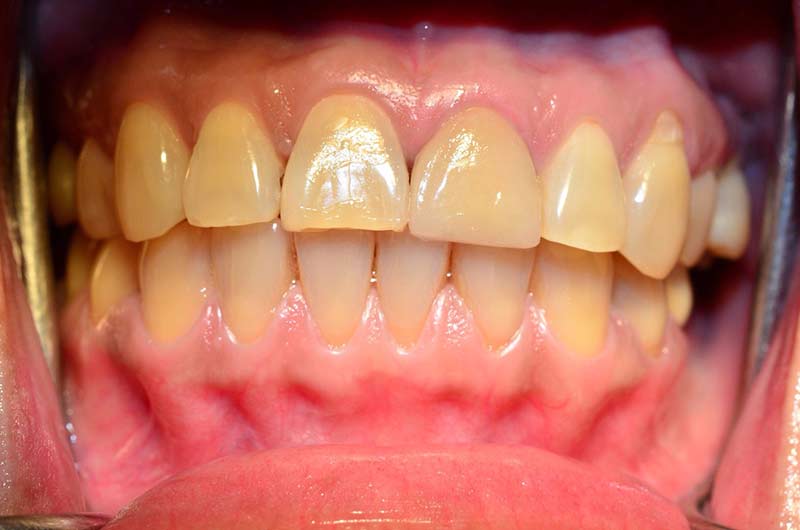
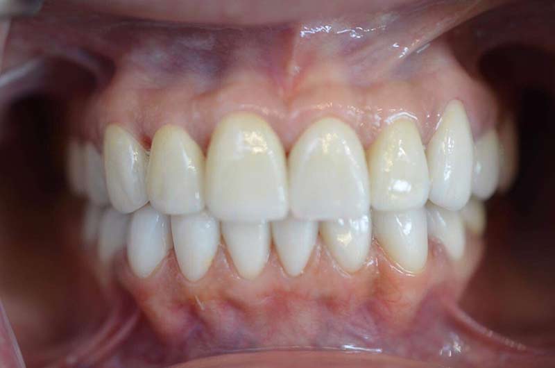
牙齒美白貼片-患者實際案例
療程結束後,患者傳來照片表示很開心牙齒顏色前後對比差異如此之大,並感謝伊甸園牙齒美白療程讓她的牙齒變得更加亮白。我們也很高興收到患者的回饋並會持續精進牙齒美白技術。


為什麼牙齒會變黃?
- 若母親在懷孕時服用四環黴素之類的抗生素,可能造成孩子先天性牙齒變色。
- 經過根管治療的牙齒也可能慢慢變成深褐色。
- 牙結石的堆積也會造成齒頸部、牙齒鄰接面,局部地區呈現黑色。
- 食物,蔬菜若含有重金屬離子,也會使牙齒染色。
- 牙齒齲蛀、填補銀粉,也會使牙齒變黑。
- 長期的抽煙或嚼檳榔,喝咖啡、喝茶等,也會造成深色色素滲入齒質內部。
牙齒美白的方法有哪些
以下就簡單的介紹三種牙齒美白的方法,洗牙、噴砂美白療程較能針對表面染色處理,而居家美白較能針對深層染色處理:
表面染色處理-恢復牙齒原色
洗牙:
健保給付的超音波洗牙,除了較能改善牙齦發炎的問題之外,在治療的同時,更能去除齒頸部及鄰接面的結石,進而恢復牙齒的原色;但是在牙齒有凹洞、溝槽,或是鄰接面的地方,染色是不易清除的。噴砂美白:
使用牙科噴砂處理機,可以將牙齒表面上的染色,盡可能還原成牙齒的原色,包括牙齒表面上的凹洞處、溝槽處,和鄰接面處。更深層牙齒美白處理
居家牙齒美白:
屬於活性牙齒漂白,經由牙醫師的指導,可自行選擇要做的牙齒數、時間長短,事前需做個人漂白用的專用牙托,將漂白藥劑放在牙托上,在家中自行配戴上。此方法需進行一段時間才能顯現出效果,有時因使用不當也可能傷到軟組織,需在醫師指導下使用。免責聲明: 本所療程皆由專業醫生評估後,依照個人口腔狀況進行治療。因每位患者個別狀況不同,術後狀況也不盡相同,需親來本所由醫生評估。

