看診時間 - 08:30 - 12:00 、 15:00 - 19:30

預約專線 : (04)2422-7606

Invisalign Since 1997 長年追蹤35+年專業設計簡化時間 以人為本 選對醫師很重要6-8歲骨性眠中矯正黃金期勿錯過 50-60歲牙周再生微矯正專治困難厚道/暴牙/開咬(免開刀免拔牙),解答您常年困擾問題。

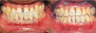
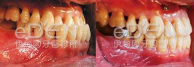
戴牙套牙周變好了

剛開始戴牙套沒信心,可戴一陣子後牙齒的不舒服感已不見,醫師細心教導如何刷牙維護牙齒的清楚,發炎減少,氣色變好