戽斗不拔牙
兒童黃金矯正期介入,協助先天戽斗患者完成不拔牙、不開刀矯正

矯正專科 張慧蘭院長
經歷
- 台北榮總矯正專科~37年資歷
- 美國隱適美隱形矯正~引進台灣並參與研發26年
- 台灣口腔矯正學會及台中市牙醫師公會前監事
- 97.7古典音樂台節目策劃~轉變角度,轉變心情
- 親密之旅--課義工10年 自我成長課程 提升情感智慧
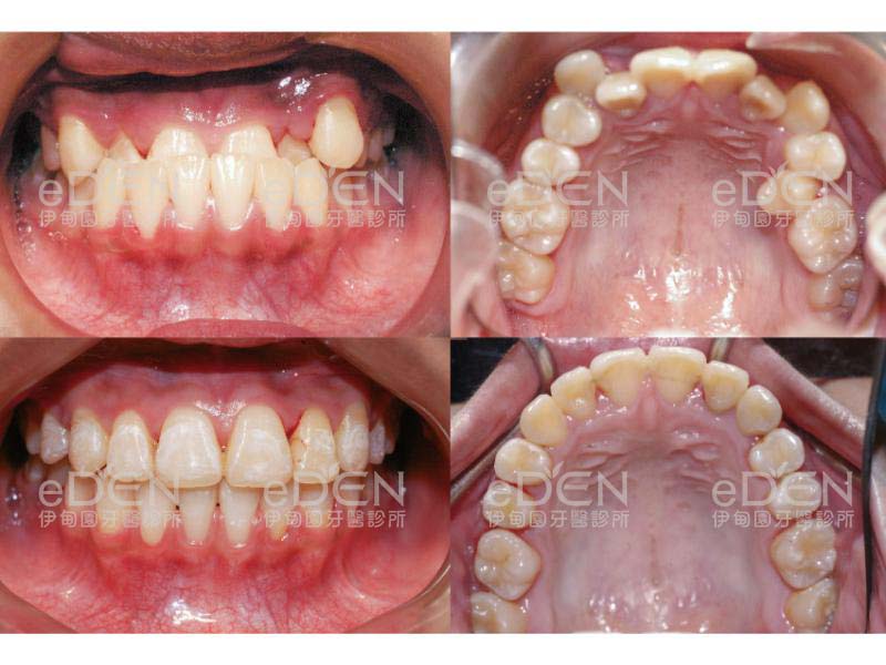
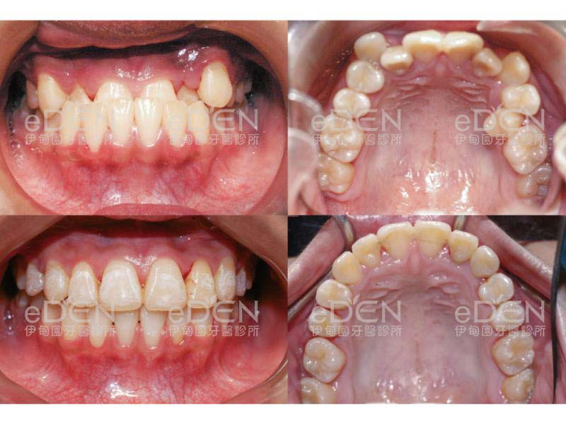
治療前狀況
患者於 5 歲初診時,由張醫師進行齒顎發育檢查,評估發現屬於先天戽斗合併恆牙先天缺失(共 12 顆)的複雜案例。由於齒顎發育方向與齒列空間受限,若未於成長階段即時介入,未來可能需透過植牙或正顎手術來補足功能與外觀。
在幼年階段即可觀察到咬合關係不穩定、顎骨發育落差,顯示後續治療若延後進行,選擇將相對受限。
治療過程與矯正重點
經完整評估後,張醫師建議把握兒童齒顎成長的黃金矯正期,規劃以台中不拔牙不開刀矯正方案。透過密集且階段性的矯正治療,搭配細心的日常照護與定期追蹤,引導顎骨與齒列朝較理想的方向發育。
治療過程中,醫師依照成長變化調整矯正重點,避免過度侵入性的處置,並降低未來需進行植牙或手術的可能性。
治療後整體變化
隨著台中不拔牙不開刀矯正計畫逐步推進,患者齒列與咬合逐漸穩定,臉部比例自然協調,整體外觀表現令家長感到滿意。笑容呈現明亮、自信的狀態,最終未進行植牙,也未接受正顎手術。
此案例顯示,透過早期專業評估與適當時機介入,部分先天戽斗患者有機會完成不拔牙、不開刀矯正的治療目標。是否適合採用伊甸園的台中不拔牙不開刀矯正,仍需由醫師依個別齒顎條件與生長狀況進行評估。
每位患者的齒顎發育與治療結果皆有所差異,實際療程需由醫師進行完整評估與規劃。

