看診時間 - 08:30 - 12:00 、 15:00 - 19:30
預約專線 : (04)2422-7606
隱形 舒適 美麗
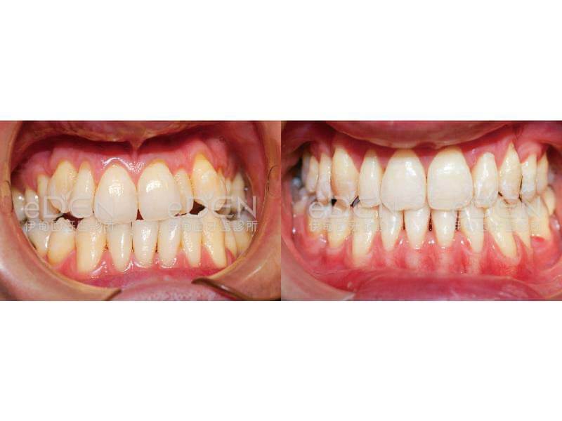
Invisalign Since 1997 長年追蹤35+年專業設計簡化時間 以人為本 選對醫師很重要,6-8歲骨性眠中矯正黃金期勿錯過 50-60歲牙周再生微矯正,專治困難厚道/暴牙/開咬(免開刀,免拔牙),解答您常年困擾問題。